在醫療科技日新月異的今天,數字化與3D打印技術正逐步成為外科手術領域的得力助手。近日,云城區人民醫院骨科手術團隊成功運用精準的數字化與3D打印技術,完成了一例復雜髖臼骨折手術,提升了康復效果,為患者帶來了福音。
患者林某,因高能量損傷導致髖臼骨折,骨折塊粉碎并移位,量大且復位固定操作異常艱難。傳統的內固定手術時間長、風險高,對于患者來說,不僅康復周期長,還可能面臨較高的并發癥風險。

術前DR、CT重建片
為了攻克這一難題,云城區人民醫院骨科團隊與華南理工大學解剖教研室、廣州市第一人民醫院數字骨科專家丁煥文采用MDT模式會診,采用3D打印技術輔助手術。數字化醫療公司通過CT數據合成3D圖像,精確復原了患者所有碎骨塊的大小和位置。云城區人民醫院骨科團隊在體外模擬了手術復位固定過程,作出精準術前規劃,為手術的成功奠定了堅實基礎。

數字化與3D打印輔助模擬手術效果

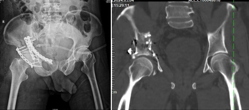
術后DR與CT顯示骨折復位固定好,關節面平整
手術期間,該院骨科團隊按照術前規劃,精準入路完成了良好的復位和固定,整個手術用時短,創傷小,出血量顯著減少,患者疼痛輕。術后復查顯示,關節面平整,頭臼關系匹配良好,且患者恢復迅速。
此次手術的成功,不僅得益于3D打印技術的精準輔助,更離不開數字化技術的有力支持。通過數字化技術,手術團隊能夠精確復位、測量螺釘長度,減少術中反復復位、預彎鋼板及測量螺釘的時間,從而大幅度提高手術效率和質量。
云城區人民醫院骨科有關負責人表示,應用數字化與3D打印技術,在骨科手術中已完成頸椎骨折手術固定、四肢畸形矯形、人工全髖、全膝、人工肱骨骨頭置換等,極大提高骨科的手術水平,能為更多患者帶來福音。未來,隨著技術的不斷進步和應用范圍的擴大,相信數字化與3D打印技術將在骨科更多領域發揮重要作用,助力云城區人民醫院骨科水平更上一臺階。
文章轉載自:云浮通
文章網址:















